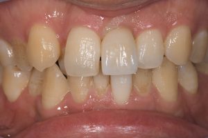
40代の男性のですが、歯茎がたびたび腫れるということで、レントゲンを撮ってみると、中切歯の歯根が破折していて抜歯となり、そこをインプラントで補綴することになりました。

術前のレントゲン写真ですが、歯根の先端1/3くらいのところで水平に歯根が折れていました。これは、抜歯以外の治療法がありません。

抜歯が終わって6週間後の状態です。
インプラントの歯ができるまでは、このような仮歯を使用していただいていましたので、見かけ的な問題はありません。
インプラントの計画を立てるために、歯と歯茎の形をスキャナーで3D画像として取り込みます。

撮影したCT画像と取り込んだ3Dの画像を重ね合わせて、インプラントの埋め込み位置をコンピュータ上で計画します。
院内に設備しているセレックにてレジンブロックをCAD/CAMにて削り出して、手術用のガイドを作成します(セレックガイド2)。

ガイドを用いて埋入することで、インプラントを正確な位置に埋入することができます。

骨の厚みが足りない部分へ人工骨を填入して、GBRを同時法で行います。
完全埋入縫合により、インプラントの埋入手術が終了したところです。
オペ後のレントゲン写真です。

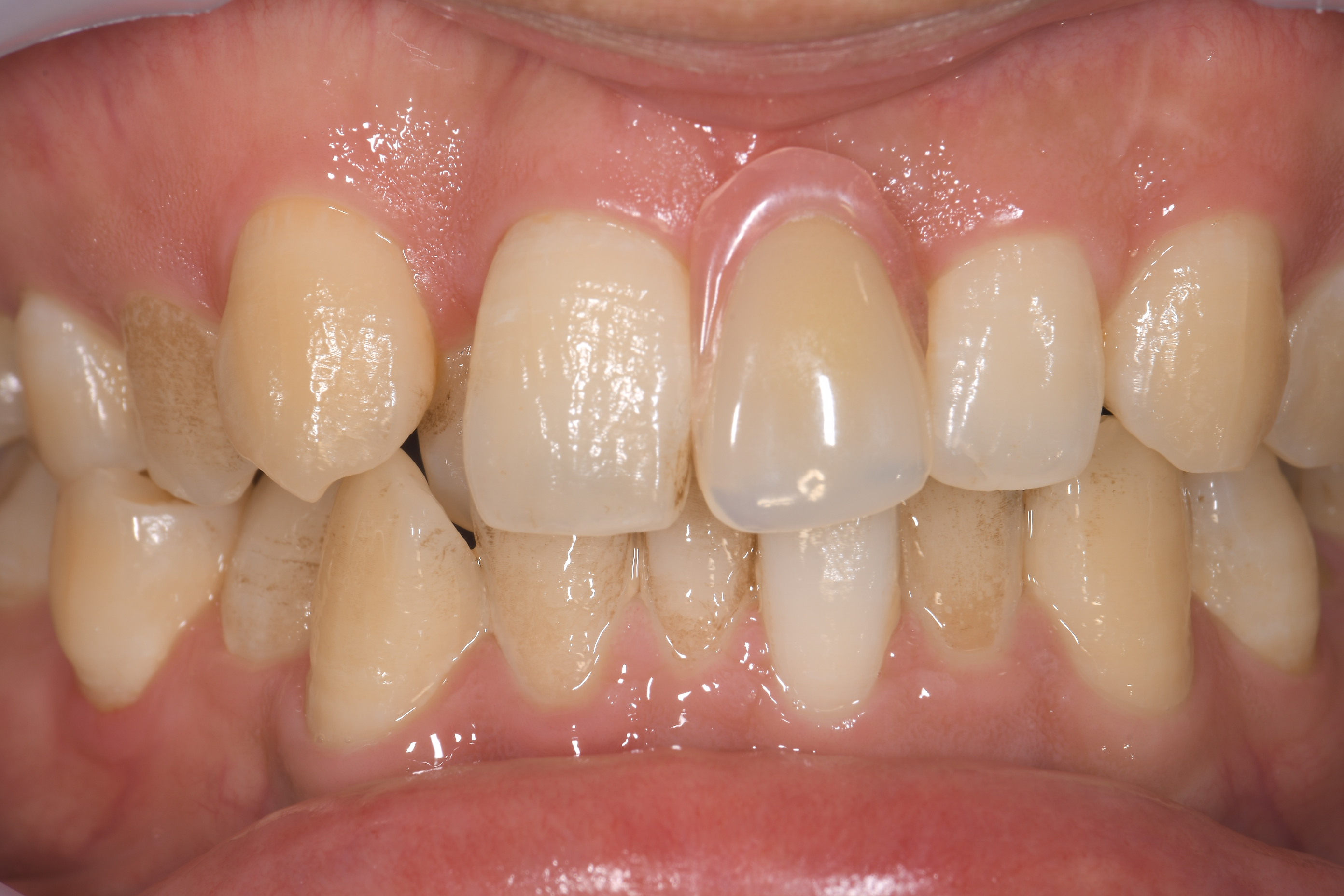
スクリュー固定のジルコニアクラウンが入りました。
術後のレントゲン写真です。全く問題ないと思います。
| 治療内容 | インプラント治療 |
|---|---|
| 治療期間 | 準備中 |
| 治療費 | インプラント1本あたり:約40万~50万(税込) |
| 治療のリスク | ・炎症・疼痛・過敏症・組織治癒遅延、及び術部顔面部の内出血 ・インプラント周囲炎になる可能性があるため、 丁寧なブラッシングと定期メンテナンスが重要 |





