今回のAll On 4は、サージカルガイドを使いストローマンガイドのキットで手術を行い、あらかじめ作成しておいた仮歯をSRAを中間アバットメントとして使用しスクリュー固定で装着する先端技術の治療です。
手術は、術前のCTでプランニングしてガイドを使用するため歯茎を開くことなく、無切開で行います。
所定の部位と深さにインプラントが埋入されたら、SRAをスクリューで固定し、仮歯を固定して終了となります。
麻酔から仮歯の装着まで90分ほどで終了します。

ストローマンガイドを使用してドリリングしていきます。

使用するインプラントは、ガイデッド用BLTの4.1ΦRC16mmです。ガイデッド用のインプラントには、今のところロキソリッドがラインナップされていないのが残念です。

4本のBLTインプラントが埋入された直後の状態ですが、出血もほとんどなくもちろん痛みも全くありません。

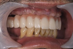
仮歯が装着された状態です。4~6週間は柔らかい食事をとってもらいますが、見かけも良いですし、取り外すこともなく快適に生活できます。
この後、3か月以上経過したら、最終的なジルコニアの歯を製作していきます。

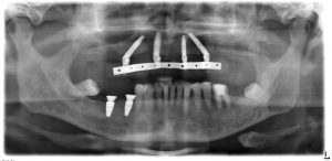
インプラントと仮歯が入った後のレントゲンです。
右下の欠損部には、2本のBLT4.1ΦRC10mmを2本埋入しています。
| 治療内容 | インプラント治療 |
|---|---|
| 治療期間 | 準備中 |
| 治療費 | インプラント1本あたり:約40万~50万(税込) |
| 治療のリスク | ・炎症・疼痛・過敏症・組織治癒遅延、及び術部顔面部の内出血 ・インプラント周囲炎になる可能性があるため、 丁寧なブラッシングと定期メンテナンスが重要 |