今年最初のオペは、下顎の7番抜歯部位のGBR併用埋入でした。
重度歯周病にて右下7番が抜歯となりましたが、頬側の骨がほとんど欠損していたため、抜歯窩にも骨の再生が滞っていました。
初期固定もほとんど取れないことが予想されたので、チタンサーフェイスではなくバイオインテグレーションの期待できるHAコーティングのインプラントを使用しました。
抜歯窩の窩底の骨3mm程度で、かろうじて固定を得て、スプラインHA5.0Φ10mmをnu-ossとバイオメンドエクステンドも用いて、GBR同時埋入しました。
かなり、条件が厳しいので、4~5か月程度待時したほうが良いかもしれません。
術前のインプラント埋入部位ですが、骨の欠損がはなはだしいです。
大きく陥没し、頬側の骨壁がありません。
スプラインHA埋入と同時にゼノグラフトとコラージェンメンブレンでGBRしています。
埋入後は、形態がボリュームアップしているのがわかります。
特に、減張切開はせずに被覆できました。

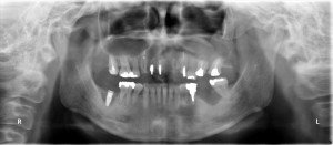
右下7番部位のインプラント埋入後のパノラマです。