今日のオペは、上顎中切歯の抜歯即時埋入です。
唇側の歯根破折のために抜歯となりますので、周囲の骨や死肉組織を増生させるために事前にLループにて矯正的に挺出をしました。
これにより、インプラント補綴後の歯ぐきの高さが周りの天然歯と揃い、審美性が高まります。
抜歯後に唇側の歯槽骨の高さをプローベで測定し、抜歯後の骨吸収の程度を経験的に推測してインプラントの埋入深度を決定するところが一番気を使います。。
使用したインプラントはストローマンボーンレベルのRC14mmで、初期固定も取りやすくプラットフォームスイッチができますので、前歯部のインプラントには利点が多いです。
このインプラントは、日本で認可が取れていないのでスイスから直接購入していますが、来年くらいにはストローマンジャパンから発売されるはずです。
抜歯に先だって矯正的挺出を行います。挺出させた空隙に骨が添加するほうが良いので2~3か月かけて行いました。
抜歯後にソケットの骨の高さを調べます。

埋入ポジションを示します。舌側のソケットに沿ってドリリングしました。
仮歯を接着して、舌側から見たところです。
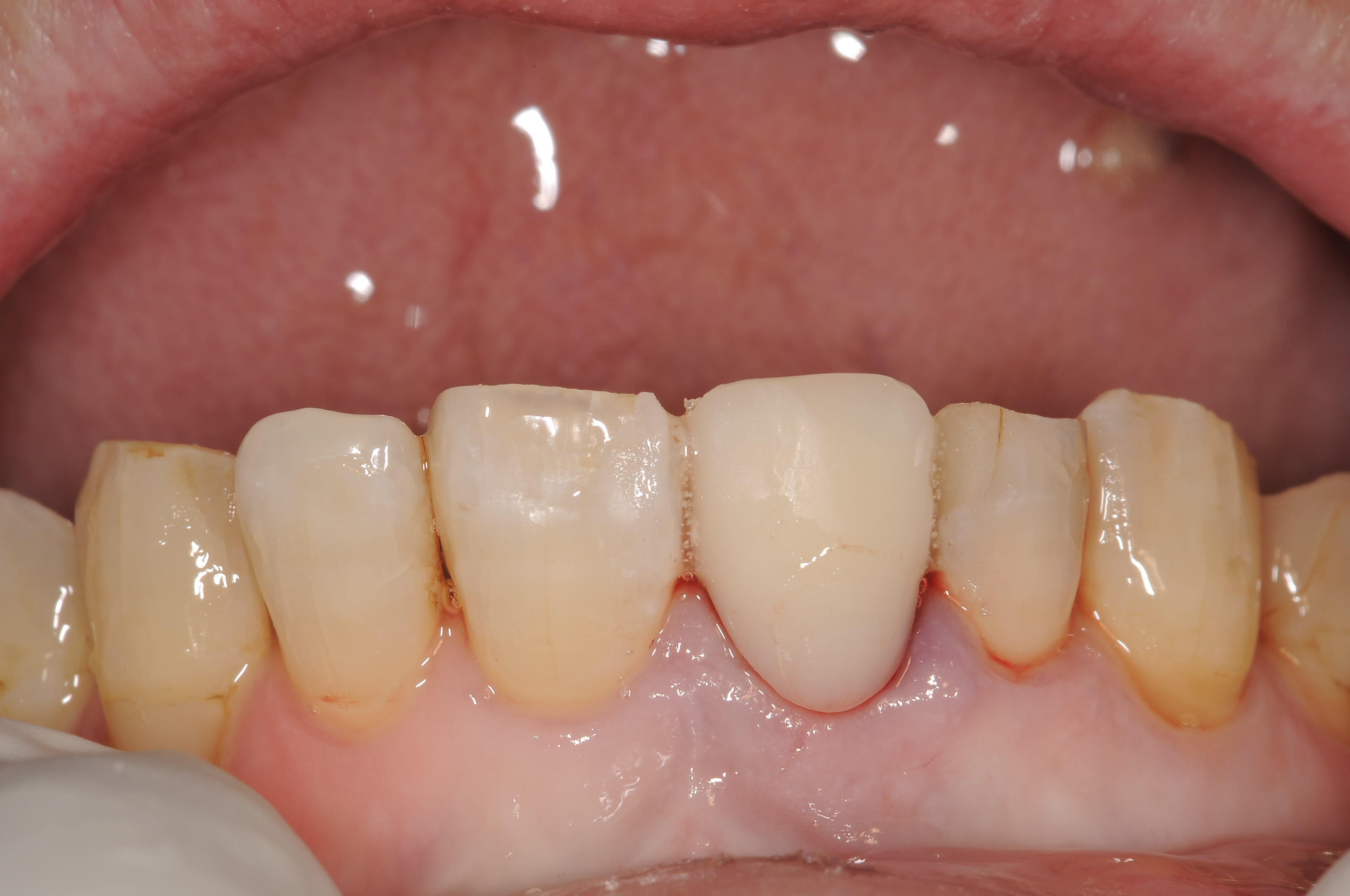
仮歯を接着して唇側からの所見です。
抜歯前のレントゲンです。
インプラントを埋入後のレントゲンです。ベストポジションに入っています。