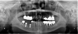
今日も昨日に引き続きストローマンのティッシュレベルの埋入でした。
右下の567部位に2本のRN11mmを埋入しました。
5番部位は、抜歯窩が治癒しておらず、CTで診ても骨欠損が存在していました。
初期固定が取れないのですが、欠損部の肉芽を完全に掻爬して、フィクスチャーの周囲を血餅で満たした状態で、CGFメンブレンを使用して完全埋入しました。
4か月後に2次オペを行い、オッセオインテグレーションが起っているか確認します。
5,7部にそれぞれRN11mmを埋入しました。
7番は1回法、5番部位は完全埋入としました。
減張切開はせずにCGFメンブレンで被覆しています。

術後のパノラマです。