今日のオペは、下顎両側6番部位の成熟側に1本ずつのサイブロンインプラントを埋入しました。
骨質はクラス4で海綿骨がほとんどありませんでしたので、皮質骨でしっかり固定を撮る必要があるケースです。
粘膜の厚みが薄かったので、プラットフォームスイッチのアバットメンントは使いにくいため、ストローマンのヒーリングキャップを使用して、1回法の埋入を行い、オクタアバットメントでスクリュー固定のシンブルクラウンを補綴予定です。
右下は、骨幅が狭く裂開が生じました。
近遠心の骨頂を少し削除し、頬側へグラフトします。
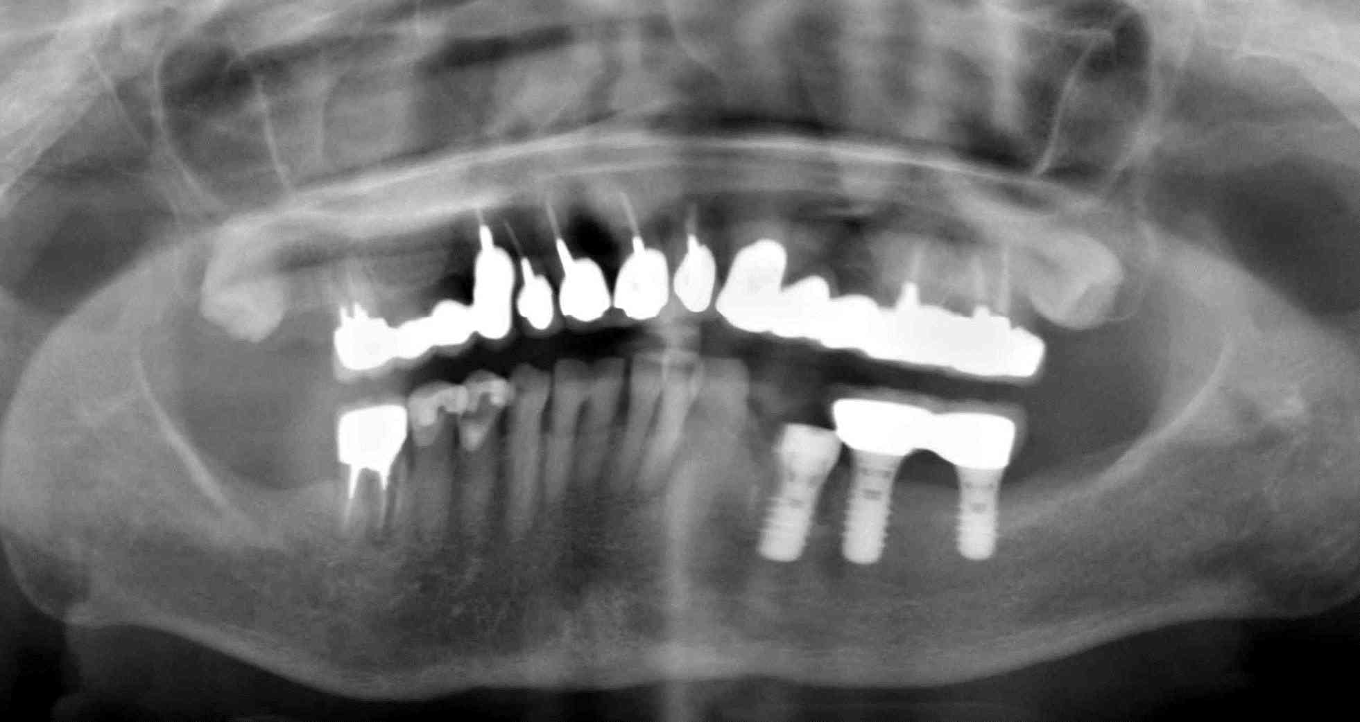
埋入終了後の状態です。

術後のパノラマです。