熊本のアズテック歯科技工ラボの田中さん立ち合いで、かみ合わせを咬合器に移してもらいました。
その後は、ラボでジルコニアフレームにポーセレンを築盛した審美性の高いスクリュー固定の上部構造(ポーセレンガム付き)を製作してもらい、患者様の口腔内に装着しました。
下の奥歯も2本インプラント支持のジルコニア冠を同時に装着しました。
これで、何十年かぶりに前歯も奥歯もしっかり噛めるようになったと喜んでおられました。
審美性も問題なく、口元も若々しくなられ、下の歯はホワイトニングもされたので全体に白く綺麗な歯になりました。

鏡の上でとった写真ですので、表面と歯茎側の面が両方映っています。
4本のスクリューで固定されることになります。
歯が入ったあとの、状態です。ホワイトニングで全体に白く綺麗になりました。

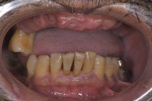
ちなみに治療前の状態です。

下の奥歯2本もインプラントの歯です。

こちらの1番奥の歯は、ジルコニアセラミック冠です。

審美性も問題ありませんね。

術後のレントゲンです。
| 治療内容 | インプラント治療 |
|---|---|
| 治療期間 | 準備中 |
| 治療費 | インプラント1本あたり:約40万~50万(税込) |
| 治療のリスク | ・炎症・疼痛・過敏症・組織治癒遅延、及び術部顔面部の内出血 ・インプラント周囲炎になる可能性があるため、 丁寧なブラッシングと定期メンテナンスが重要 |