右下に埋入したストローマンインプラントの補綴です。
6番部位の埋入深度が深くなっていますが、インターナルコネクションのアバットメントなので印象操作に困難は生じませんし、スクリューリテインの補綴物なのでセメント除去の困難もありません。
フルジルコニアなので、破折の問題も回避できて、従来のアバットメント装着→補綴物作成→セメンティングの操作で生じるテクニカルエラーのリスクがほとんどありません。
このような、今までなら難しいケースでも今では難なく治療が完了していきます。
患者さん、術者ともにストレスがなくなり、いい時代になりましたね。
治療前のレントゲンですが、右下の6番部位は大きな骨吸収がみられます。
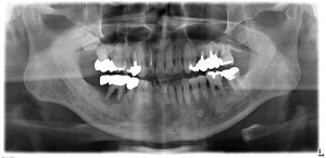
治療後のレントゲンです。インプラントにより快適な固定式の歯が入りました。
補綴時のお口の中です。手前の穴の中にあるインプラントの位置がやや深いです。
| 治療内容 | インプラント治療 |
|---|---|
| 治療期間 | 準備中 |
| 治療費 | インプラント1本あたり:約40万~50万(税込) |
| 治療のリスク | ・炎症・疼痛・過敏症・組織治癒遅延、及び術部顔面部の内出血 ・インプラント周囲炎になる可能性があるため、 丁寧なブラッシングと定期メンテナンスが重要 |

