左側(向かって右側)中切歯の根っこが割れて、歯ぐきに炎症が起こっていました。
このような場合、抜歯しなくてはなりませんが、抜歯した後の歯槽骨(インプラントを支える骨)は、吸収がおこり厚みが薄くなります。
インプラントを埋入した時に、骨からはみ出してしまうことが多いです。
このケースも裂開がありましたので、ボーンチップとBi0-ossとBio-guideでインプラント埋入と同時法のGBR(骨造成)を行いました。
切開線は、審美領域から外して犬歯の遠心に設定し、三角弁にてフラップをあけました。
使用したインプラントはストローマンBLT4.1Φ12mmで、しっかりと固定できました。
3か月後に2次オペを行い、4か月後に補綴予定です。
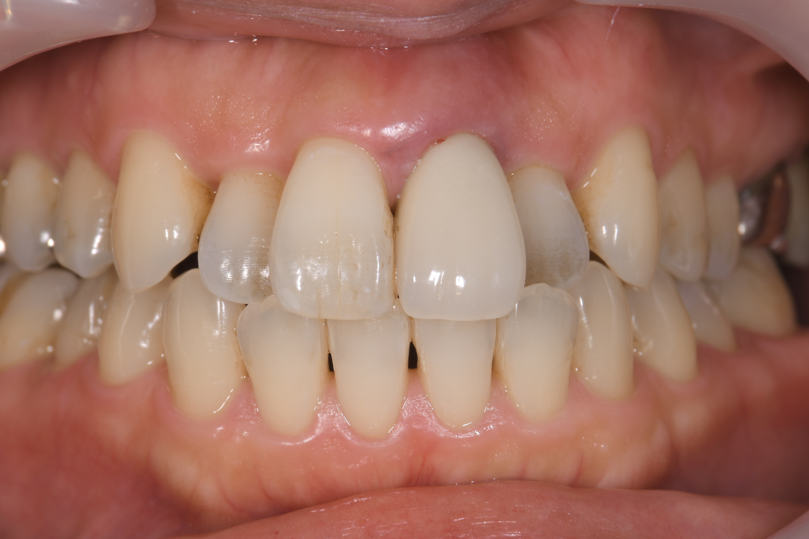
向かって右の中切歯が歯根破折しています。
抜歯から10週後の抜歯窩の状態です。
インプラント埋入後に裂開が生じました。
フィクスチャー表面に自家骨、その上にDBBMでカバーします。
さらにバイオガイドで被覆します。
オペ終了時の所見です。
インプラント埋入後のレントゲンです。






