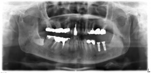
左下の大臼歯の成熟側へ2本のストローマンBLインプラントRC41.Φ10mm×2本を埋入しました。
特に問題なく20分ほどで手術は完了しました。
2.2mmのパイロットドリルでのドリリングで平行性が不十分でしたので、次の2.8mmのドリリングの時に平行性を修正しました。
あとは、2週間前に抜歯していた智歯の抜歯窩がドライソケットになっていたので、一緒に掻把してテトラコーンを包埋しました。
2.2mmのパイロットドリルでのドリリング後にはへ平行性が不十分です。
2.8mmのドリリングで修正しました。
使用したストローマンボーンレベルSLActiveです。
手前の第2小臼歯は外側へ倒れて生えていますので、インプラントは正しい位置に入っています。
オペ後のレントゲンです。




