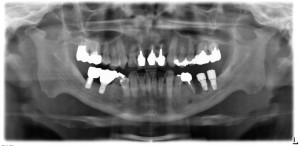
今日のオペは、左下6番部位にスプライン5.0Φ×8mmを通常埋入しました。
7番部位には、昨年の9月にGBRと同時埋入のスプライン8mmが入っています。
6番が歯根破折で、近心根相当部に骨欠損が残っていたので、やや遠心に埋入となっています。
7番のインプラントは同時に2時オペも行っていますので、2か月後に上部構造製作のための印象採得へ移行できると思います。
7番部位には、粘膜下にインプラントが入っています。
6番部位にスプライン埋入したところです。
7番は同時に2次オペ、6番は1回法で通常埋入です。
術後のレントゲン写真です。



