上顎も6番までの症例のため、左下6番部位にストローマンボーンレベルRC4.8Φ×10mmを埋入しました。
この患者様は、17年前に右下、10年前に左上にそれぞれ2本のストローマンインプラントを埋入していますので、今回は3回目のインプラントを受けていただくことになります。
この方のように、一度インプラントを経験された方は、次にもインプラントを希望されることが、圧倒的に多いです。
症例としては、骨のボリューム、角化歯肉ともに充分にあり、骨質も良好と予想される症例でした。
ただ、このようにどこにでも埋入できるようなケースほど、埋入ポジションが理想的な位置とずれやすいということもあります。
術前にCTにてプランニングを行い、フリーハンドで計画通りのポジションに埋入することを狙いました。
オペの時間も、約20分程度で無痛的に終了しました。
術前のCTでのプランニングです。オレンジ色の部分が計画上のインプラントです。
術前の埋入予定部位です。初心者でも取り組みやすいケースですが、上級者としては如何に短時間で正確な手術を行うか、が要求されます。
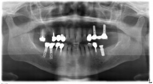
インプラントが埋入された状態の画像です。
術後のレントゲンです。理想的なポジションに埋入されています。
右下の穴あきのインプラントもホローシリンダータイプと言って、初期型のITI(ストローマン)インプラントです。



