最近のインプラント治療は、いかに安全に確実に短時間で手術を行うことができるかということに、焦点が集まってきています。
このケースは、あらかじめインプラントの埋め込みの場所と方向をサージカルガイドによって決定し、ストローマンガイドという、ガイドサージェリー用の手術キットを使って、決められた埋め込み場所に寸分の狂いもなく、しかも歯茎を切開することもなく15分程度の手術時間で埋め込みを行いました。
しかも、事前に作ってあった仮歯をその場で調整し、セットしました。
患者様は、これまでにも当医院で3回ほどインプラント治療を受けておられるのですが、今までのインプラント手術の中で最も楽で、痛みや腫れが全くなかったといわれました。
もちろん、このようなガイデッドサージェリーを行うためには、前もって行うべきことや必要なことがいくつかあります。
まず、医院に専用のCTとプランニングソフトが設置してあること、プランニングに必要なステントを準備すること(当医院ではセレックシステムにより、3Dの画像データをプランニングソフトにインポートするだけで済みます)、専用のガイデッドサージェリー用のインプラントシステムを導入していることですが、まだまだここまでそろえている医院はほとんどないのが現状です。
いかに、このケースの手順を簡単に説明板いたします。
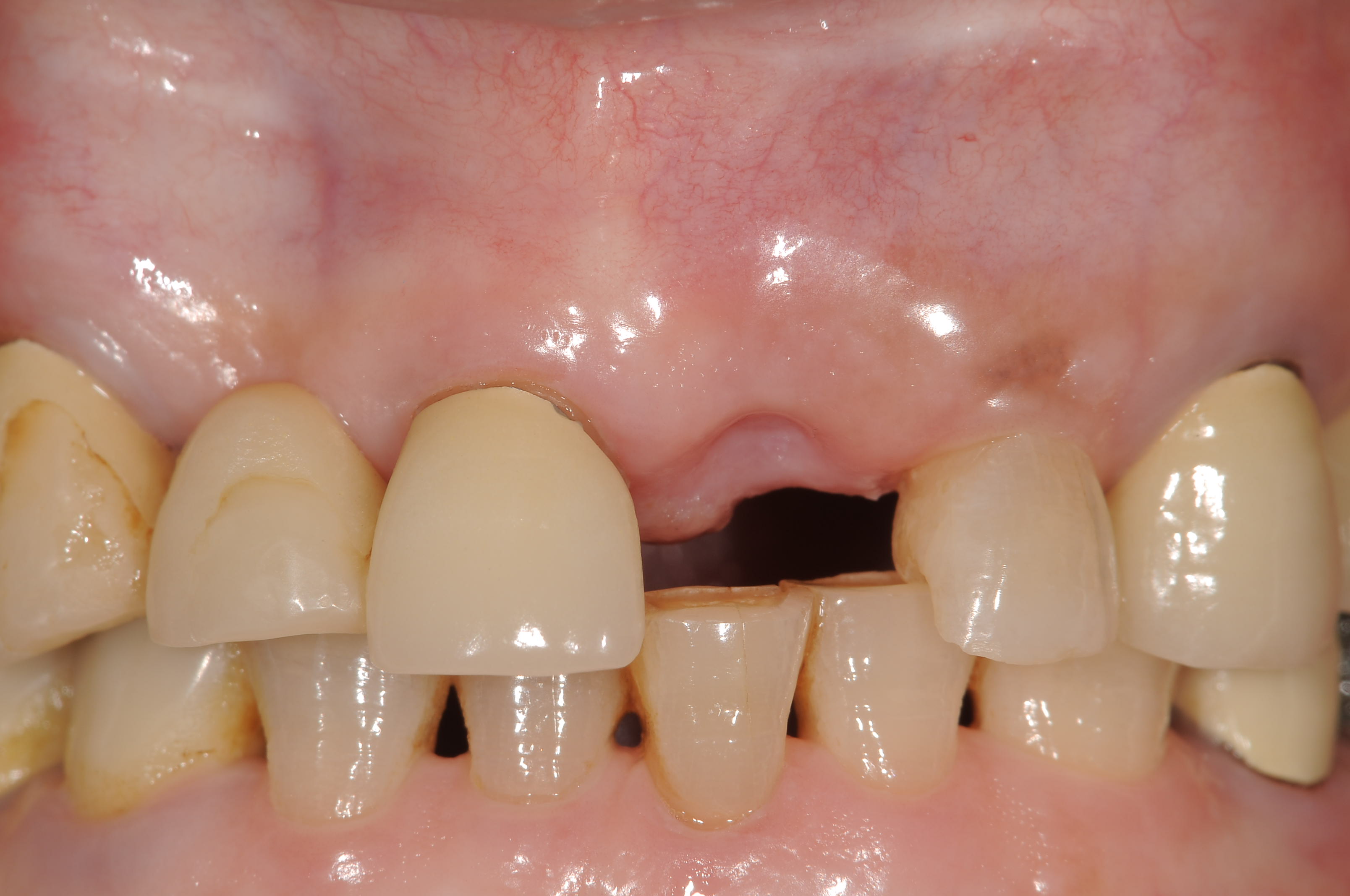
治療前の状態は、向かって右の中切歯が歯根の破折のために8週間前に抜歯されています。
セレックの光学印象のためにブルーカムパウダーを塗布した後に、スキャナーで画像の取り込みを行います。
セレックのデータをプランニングソフトに取り込んで、埋め込みのポジションを設定します。この後、データをインターネットでドイツのSICAT社へ転送します。
約1週間ほどで、このようなサージカルガイドが送ってきます。
インプラントの埋入手術は、ストローマンガイドを使って短時間で行うことができます。
歯茎を切開することもなく、所定のポジションに埋入が完了しました。
手術直後に仮歯が入った状態です。手術が行われたこともわかりません。
2か月後には、セラミックの歯が入りました。インプラントの歯とは思えないほど、きれいで自然に仕上がっています。







