今日は、右下67部位の成熟側に2本のサイブロンプロEXRN13mmを埋入しました。
骨幅、深さも十分でしたので、気を付けたことは、オペ時間を短くするということと、埋入位置を正確にするということくらいでした。
歯槽頂に骨の増殖がみられましたので、ドリリング前にマイセルで削除しました。
初期固定も強固にできて、プラットフォームスイッチ用のアバットメントを装着して1回法で終了しました。
歯槽頂に骨隆起がありました。
パラレルピンで埋入ポジションと平行性を確認します。

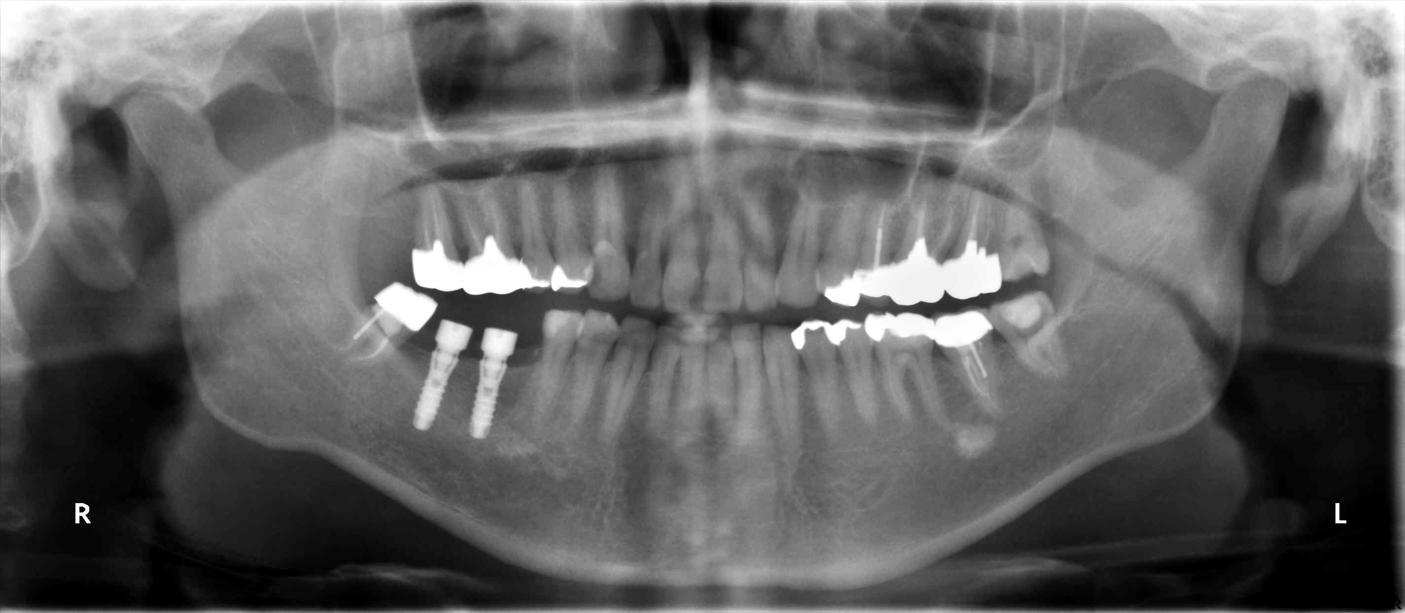
術後のパノラマです。
今日は、右下67部位の成熟側に2本のサイブロンプロEXRN13mmを埋入しました。
骨幅、深さも十分でしたので、気を付けたことは、オペ時間を短くするということと、埋入位置を正確にするということくらいでした。
歯槽頂に骨の増殖がみられましたので、ドリリング前にマイセルで削除しました。
初期固定も強固にできて、プラットフォームスイッチ用のアバットメントを装着して1回法で終了しました。
歯槽頂に骨隆起がありました。
パラレルピンで埋入ポジションと平行性を確認します。

術後のパノラマです。
日付: 2011年6月23日 カテゴリ:症例集(オペログ)