先週のオペですが、忙しくてアップが遅くなりました。
左上の中切歯から犬歯まで3本の前歯が欠損した女性の患者様です。
抜歯から8週間たっていますので、いわゆる抜歯早期埋入ということになります。
術前のCTで、頬側の骨が足りないために、埋入と同時にGBRを行う予定でしたので、歯茎が完全に治癒する8週間を待時してのオペとしました。
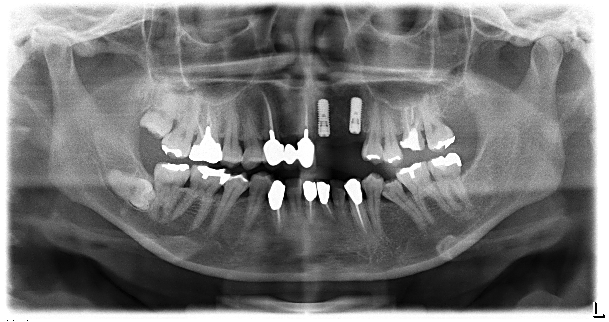
抜歯から8週間後です。左上の前歯から犬歯まで3本が欠損しています。
術前のギャラクシスというプランニングソフトによる埋め込みの計画です。
最近は、従来のSLAという表面性状のインプラントの在庫がはけてきたので、ほとんどがこのSLActiveとなっています。
埋入後には頬側に骨の裂開が見られます。
Bio-ossとBio-guideの黄金コンビで埋入と同時法のGBR(Guided Gone Regeneration)です。
術後の痛みや腫れもなく順調に経過中です!
オペ後のレントゲンです。






