福岡市大濠公園駅の歯医者|池田歯科大濠クリニック

福岡市大濠公園近辺で歯医者をお探しの方
ご予約・ご相談はお気軽にどうぞ ▼

無料カウンセリング予約

インプラント症例

出来るだけ自分の歯を残しながら、
インプラント治療をしたケース
(歯周治療)

術前術後の口腔内者写真

治療前

治療前症例写真

治療後

治療後症例写真
年齢・性別 61歳女性
主訴 歯茎が腫れて、歯がぐらついてよく噛めない。
お口の状態 多くの歯が重症の歯周病になっていて、歯並びや審美性にも問題があった。
治療内容 重症の歯周病を治療して、歯を失われたところにインプラントを6本入れ、治癒後、ジルコニア・セラミック製の人工歯を装着された。
治療費 インプラント1本あたり:約40万~50万(税込)
歯周病の再生治療(エムドゲイン)9本分:約28万(税込)
合計:68万〜78万円(税込)
治療期間 10か月
治療のリスク • 一過性及び永久性の唇・舌・頬・歯肉・歯牙等の感覚麻痺
• 近接歯牙の損傷・上顎洞・鼻腔への穿孔
• 炎症・疼痛・過敏症・組織治癒遅延、及び術部顔面部の内出血
• インプラント周囲炎になる可能性があるため、丁寧なブラッシングと定期メンテナンスが重要

治療の流れ

  • 治療前

    1.治療前

    「歯茎が腫れて、歯がぐらついてよく噛めない」と来院されました。

  • 治療前の検査

    2.治療前の検査

    歯周病の状態をレントゲンとポケット検査で調べて、治療方針を提案しました。

  • 歯周病治療

    3-1.歯周病治療

    歯周病の治療を徹底して行い、9本の歯を残すことが出来ました。

  • 歯周病治療

    3-2.歯周病治療

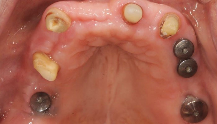
    歯の足りないところだけに、6本のインプラントで固定式の歯を入れることになりました。黒い丸のところにインプラントが入っています。

  • インプラントについて

    4-1.インプラントについて

    6本のインプラントはすべて、フルジルコニア+スクリュー固定で製作されています。

  • インプラントについて

    4-2.インプラントについて

    6か所の穴がスクリューホールですが、歯が入ったら同色のレジンでふさいでしまいます。

  • 治療後

    5.治療後

    歯周病も完治し、奥歯にはインプラントの固定式の義歯が入り、何でもよく噛めて審美性も満足されています。
    治療から7年経過していますが、定期健診にも来られていて、良い状態が続いています。

経過報告

経過報告

治療後のレントゲン写真です。
治療終了から7年経過していますが、定期健診にも来られていて、良い状態が続いています。