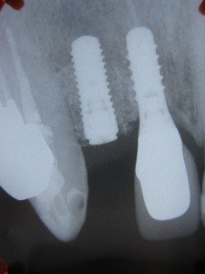
今日の午前中のオペは、中切歯にストローマンのティッシュレベルを10年前に埋入した患者様の、隣在側切歯が歯根破折で抜歯となったリカバーです。
抜歯から8週での早期埋入で、ストローマンのボーンレベルインプラントφ4.1×12mmをGBRと同時埋入しました。
補填材は、bio-oss を使用しメンブレンとして自己血由来のCGFメンブレンを用い、減張切開をくわえて完全埋入しました。

埋入位置の確認をしています。

頬側の裂開に対して、Bio-ossとCGFメンブレンでGBRをしています。

リミテットフラップデザインにて完全埋入しています。

埋入後のレントゲン像です。