no
下顎左側の臼歯部に2本のインプラントを希望してこられた患者様です。
レントゲンでわかるように歯槽骨が大きく陥凹していて、必要な骨の高さが全く足りません。
そこでステージドアプローチのGBR(事前に行う増骨手術)を行い、そののちにインプラントを埋入しました。
GBRは、骨補てん材と自家骨にエムドゲインを混和して非吸収性膜で被覆の日に完全埋入しました。
GBRから5か月後に膜除去と同時にストローマンBLΦ4.8mm×10を2本埋入しました。
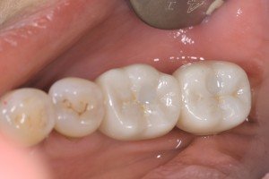
補綴はモノリシックジルコニア(ジルコニア単体)を連結にしてスクリュー固定としました。
プラークが付着しやすい余剰セメントのリスクがなく、インプラント周囲炎になりにくい構造としています。
治療前のレントゲン写真ですが、向かって右下に2本の歯が欠損して、歯槽骨も陥凹しています。
GBRに用いたd-PTFEメンブレンを除去しました。
ストローマンBLT4.1Φ10mmを2本埋入しました。
埋入後のレントゲンです。
最終補綴のモノリシックジルコニアのスクリューリテインです。
口腔内に入ったところです。
治療後のレントゲンです。
| 治療内容 | インプラント治療 |
|---|---|
| 治療期間 | 準備中 |
| 治療費 | インプラント1本あたり:約40万~50万(税込) |
| 治療のリスク | ・炎症・疼痛・過敏症・組織治癒遅延、及び術部顔面部の内出血 ・インプラント周囲炎になる可能性があるため、 丁寧なブラッシングと定期メンテナンスが重要 |






