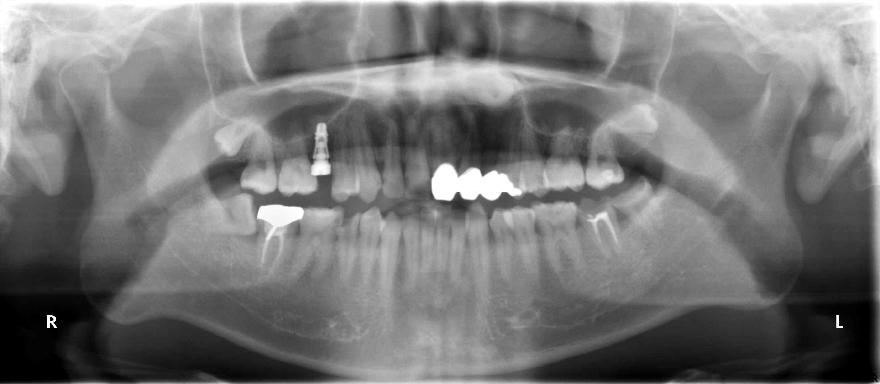
今日は、上顎5番部位の成熟側にサイブロンプロEXのRN9mmを骨縁下埋入しました。
歯槽頂からサイナスまでの深さが8mmでしたので、オステオトームテクニックを用いて自家骨を削除しながら填入しました。
術後のパノラマで、シュナイダーメンブレンが挙上されているのが確認できます。
近遠心ではやや骨縁下に埋入していますが、プラットフォームシフトしたオクタアバットメントを使用してスクリュー固定のメタルセラミッククラウンを装着予定です。
欠損幅がやや少ないので、6番の近心をやや削除して形態修整する予定です。

埋入後のパノラマです。
近遠心では、やや骨縁下になっています。
プラットフォームシフト用のヒーリングアバットを装着しています。