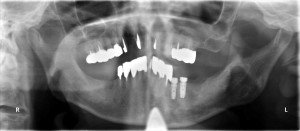
今日は、右下の56部位の成熟側へのサイブロンプロEXの埋入をしました。
5番部位の頬側の骨がやや陥凹していて足りませんでしたので、舌側の骨縁から自家骨を採取して移植しました。
付着歯肉、骨量ともに豊富で特に何も問題なく、固定も十分に取れました。
プラットフォームスイッチのアバットメントが使用できるように、やや深めに埋入し、プラットフォームスイッチ用のヒーリングアバットメントを装着しています。

5番頬側には、自家骨を移植しています。

埋入後の状態ですが、付着歯肉の量も十分で何も問題ありません。

術後のパノラマです。